News
Happy Boss's Day
Happy Boss's Day to Dr. Revell and Dr. Warrington! We wanted to take this opportunity to remind you why we all love coming to work every day and why we think you both are AWESOME! The culture you have created in the office makes all of our lives more fulfilled. The passion you have for helping children, giving them a place to feel safe and loved and most of all making dentistry FUN is inspirational. We could not be more lucky to have you both or each other to call family and can't wait for many more adventures together. Thank you for everything you do for us and our community!
Pumpkin Competition
We had a friendly competition this year with our staff to see who could decorate the best Halloween pumpkin and we need your help voting! We want to know which one you think is best. By participating, your kiddo(s) will be entered into a drawing to win a special prize package. Go to our Facebook page and LIKE, COMMENT, or SHARE which pumpkin is your favorite. Sharing will enter your name into the drawing more than once. Contest ends October 31st. Thank you for helping us have bragging rights on the best artist!

Halloween is Back!! Come Trick or Treat with us on Thursday, October 25, 2018 from 4:30 - 7:00.
Have your child dress in their Halloween Costume and come take a photo with our characters!!! Public welcome, you do not need to be a patient to Trick or Treat with us! Invite your family and friends!
Search for Des Moines Children’s Dentistry on Facebook for more details and pictures of our staff!!
Be Our Guest
When: Thursday, October 26th from 4:30 – 7:00
Where: Des Moines Children’s Dentistry
5950 Village View Drive Suite 200
West Des Moines, IA 50266
Who: Everyone is welcome!
We have had a lot of patients without appointments in October inquire about coming to visit our Princesses. Because of this, we are planning a night for patients and non-patient family and friends to come get pictures taken with us! Kids are encouraged to dress up in their favorite Halloween/Princess costumes, but are not required to dress up.
There is no RSVP requirement to attend. Just come on out on October 26th to see us!
Search for Des Moines Children’s Dentistry on Facebook for more details and pictures of our staff!!
Halloween is here at DSMCD!
October 6, 2015
We have some new faces to meet you and your children during your visit this October! Check out our Facebook page for lots of fun photos and updates!
https://www.facebook.com/desmoinespediatricdentistry
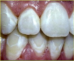
FAQ with Dr. Revell–What are the white scars on my child’s teeth after braces?
June 3, 2015
Q: My daughter got her braces off last week and I’ve noticed she has white rings all over the fronts of her teeth. What is going on?
A: Unfortunately, many patients who receive orthodontic treatment experience the post-treatment problem described above. When hygiene and diet are not optimal during orthodontic treatment, problems can occur. Inflamed gums, smelly breath, poor progress with treatment, and dental cavities are all concerns with poor hygiene during orthodontic treatment. The video above shows how poor oral hygiene during full braces can cause severe dental caries:
Early in the video, we see the yellow plaque building up around the brackets and causing inflammation, or redness, of the gums. This build-up of plaque will cause the patient to have moderate to severe bleeding if he or she were to try to brush the plaque off. At this point, performing proper hygiene would likely be painful and may discourage the patient from brushing and flossing as thoroughly as required. The good news is with proper brushing and flossing, the inflammation would resolve in just a few days!
In the second portion of the video, we see the braces have come off! Hooray!! Unfortunately, this patient now has very stubborn plaque and tartar that requires a professional cleaning at the dentist to be completely removed. Once the cleaning is complete, we can see the patient has the bright white “scars” on the teeth mentioned in the question above. In these areas, the enamel has lost mineral content and become weakened. Additionally, these white spots can no longer be brushed off, and will be permanent defects on the tooth surface. They may also be areas more vulnerable to caries in the future. We can also see the patient has light brown, crescent-shaped areas of decay along the gumline from many months of poor brushing. These areas will have to be restored and will require considerable time and money to maintain throughout the patient’s lifetime.
As you can see from the side by side comparison pictures, orthodontics can leave a patient with a beautiful, perfect smile. However, orthodontics also requires significant commitment and responsibility on the part of the patient. For this reason, not every child is a good candidate for orthodontics. This is why your dentist may not be willing to refer your son or daughter for orthodontics until significant improvements in hygiene are established and maintained for several periodic visits!
-Dr. Revell
Pediatric Dentist Manifesto
May 27, 2015
When was the last time you took time out to reflect on your life? Your job? Family? Your goals? What makes you happy? Why you get up in the morning? What drives you to work hard and make a difference in the world?
I think most of us innately want to help. We want to be contributors and doers and changers in the world around us. I think many of us feel insignificant in our place in life because we don’t see value in the contributions we provide. We are wired to think our lives are insignificant if we aren’t going to be the President, a CEO of a major company, or a leader in our community. What we fail to realize is throughout our lives we are going to have the amazing opportunity to influence the people we interact with in our lives on a daily basis—and that is a source of incredible power and responsibility. Imagine if everyone you met cared as much about doing things for others as they do about caring for themselves and their family. What if everyone you met loved what they are doing in life so much they would go to any lengths serve others?
I recently completed this thought experiment myself. I set some personal and professional goals, but mostly I thought about our office. What are we doing here? What are we all about? How can we come together with a unified purpose to serve our patients everyday? And more importantly, how can we share these beliefs with our patients?
I decided the best way to convey our belief was to create an office manifesto. A manifesto is like a professional “mission statement” that articulates the ideals and platform of an organization. I felt this would not only help serve as a reminder to our team what we believe in and why we are here, but would also be a fun (and maybe a little tongue-in-cheek) way to share with our patients what we think makes our office so special.
We have had excellent feedback on our manifesto, and I think it helps set the tone for our staff, patients, and parents every day. It has been such a motivating experience for me that I encourage all of you to consider doing the same for your place of employment. Many of us spend the majority of our time at work. How can we be happy in our life without feeling productive and fulfilled by what we do? Whether it be teaching, construction, being a stay-at-home mom, or a cashier at a local store, it is important we find ways to feel joy and fulfillment with what we do. I believe true fulfillment comes from setting and reaching goals, but this requires we first articulate who we are and what we stand for. Once this has been accomplished, we can base our goals off of our personal beliefs and values.
I hope you enjoy reading our manifesto, and that it in some way inspires you to make positive changes in your life.
-Dr. Revell
FAQ with Dr. Revell—My child was traumatized at a previous dentist
April 15, 2015
Q: My child had a horrible experience at a dentist I took her to a year ago. I have been scared to take her to another appointment because it went so badly and any time we even mention the dentist she starts crying. What should I do?
Strategies for managing a child with previous traumatic medical and dental experiences
A: This is a great question that we hear from parents all the time. To begin, there are a variety of reasons children can have “bad dental visits”. Sometimes, the dentist and patient are not a good fit for each other. Sometimes, the dentist may not be comfortable treating children and this may impact the manner in which the appointment goes. Other times a child may have very severe or urgent dental needs that necessitate treatment quickly- limiting the ability of a practitioner to keep the appointment fun and upbeat.
Whatever the situation, understand that a bad experience should not be the expectation. Also understand that a bad experience should not prevent you from taking your child for routine preventive care. In my opinion, preventive dental visits are the most important step in ensuring positive future dental experiences for your child. The issue that we need to address first is where do we start once the feelings of fear with the dentist have already been established?
Choosing a provider who is comfortable seeing children is a good place to start. This is where a pediatric dentist can really shine! A pediatric dentist completes a residency that lasts 2-3 years beyond the training of a general dentist. Those years are spent exclusively focusing on the unique dental, developmental, and emotional needs of children and patients with special health care needs. Pediatric dentists will have the patience and skills to work with a child who may have deep seeded fears or a previous traumatic dental experience.
Second, explain to your child that you are going to try something new. Tell him or her that you also did not think the last visit went the way it should have and that together you are going to go “meet” a new dentist. Avoid any conversations about treatment (either what happened at the previous visit-or what you think might happen at the next one). The key to this conversation is to keep things simple, upbeat, and to not bring it up too far in advance.
Finally, allow your child to react in the office however comes naturally. Their behavior may be a coping mechanism and will also be a reflection of how they are truly feeling about the situation. Let the dentist take charge of the appointment. It is important to let your child express their feelings, anxiety, tears-whatever it may be-so that we can acknowledge them and explain to your child that this time things will be different. It will also allow the dentist to properly evaluate where your child is at and what we need to do to make them comfortable for any future appointments or treatment.
It may not happen overnight, but together we will work through the fears to help your child become comfortable and happy at the dentist once again.
-Dr. Revell
FAQ with Dr. Revell
April 7, 2015
We get a lot of great questions from parents and caregivers both here in the office and emailed to our website. To help answer some of these questions we will be posting a series of blog entries over the coming weeks that will address some of the most common concerns. We feel this information will help educate and prepare families for a lifetime of good dental health! This first post addresses a question that is most commonly fielded by our front office staff.
Q: My child has their first dental appointment next week. What should I do to prepare my child for their first visit?
A: This is a great question that gets asked by lots of concerned parents. Unfortunately, it does not have a definitive answer.
Bottom line is: You know your child best, but typically most children need little or no preparation for their first visit. Reading books every night about going to the dentist, role playing, and talking frequently about the upcoming dental visit will clue a child in to the fact that mom or dad is very concerned about the upcoming trip to the dentist. Your child may begin thinking “why is mom or dad talking to me so much about the dentist?” Just as you would not read books, role play or discuss “how to go to a birthday party”, we suggest you not over-prepare your child for their dental appointment. A skilled pediatric dentist will make the entire experience as simple and non-threatening as possible, while getting you and your child involved in the process.
Occasionally, I have moms who say “My child needs to talk about the visit and know everything that is going to happen”. For those children, I suggest cautious preparation. Never use the words “hurt”, “pain”, “scary”, “shot”, etc. Don’t tell your child that you hate or are scared of the dentist. Don’t tell your child “It won’t hurt” or “It won’t be scary”. We don’t want to suggest these ideas to your child or to plant any ideas of pain or fear into your child’s imagination. Remember-your child will take his or her cues from you. If your child asks what will happen, a simple phrase such as “the doctor will brush and count your teeth” is sufficient. If your child asks things like “Will I get a shot?”, something such as “I don’t think so, but let’s ask the dentist when we get there” will keep you honest and keep the questions from your child to a minimum.
The most important thing to remember is your child doesn’t have to grow up hating the dentist. We will find a way, together, to help your child have a pleasant experience. You may even find yourself surprised to hear your child say at the end “when do we get to come back?!”
-Dr. Revell
Des Moines Children's Dentistry is Tooth Fairy Approved!
February 20, 2015
We are so excited to share our newest addition to the Des Moines landscape. Our very own Des Moines Children’s Dentistry billboard!
Our brilliant Clear Channel Outdoor Account Executive, Brenda Krumel, suggested we take Grant (our billboard model) to surprise him as the billboard was constructed on site. She even brought hot chocolate for us to enjoy while we watched. As you can see from the pictures, he was very excited to see himself on the big sign and we all had a wonderful time watching it go up!
The Des Moines Children’s Dentistry billboard will be traveling around Des Moines to several different locations. Make sure to keep an eye out for it and if you are feeling adventurous take a selfie with it and post it to our Facebook!! We would love to see your pictures!
-Dr. Revell
Christmas 2014
December 3, 2014
We love to celebrate the holidays here at Des Moines Children’s Dentistry! One of our favorite ways to get in the spirit for our patients and families is by having our very own Elf on the Shelf, Hermey, make a special visit to the office during the Christmas season. Hermey is generally a very good elf, and takes lots of important notes about the children for Santa. Occasionally though, he gets into some silly mischief! We hope you enjoy looking at what our office and elf have been up to this year!
-Dr. Revell
Hermey arrived in the office this year on a very special Christmas Train! He has lots of exciting looking surprises in there for our office—and he brought four new friends with him! We can’t wait to see what he has up his sleeve for our office for the month of December!
Hermey and his friends set up a fun “photobooth” last night for our patients and their families! They even made special props for the photos!
Hermey decorated his very own special “elf tree” with handmade ornaments! What a gorgeous tree, Hermey! We LOVE it!!!!
Halloween Decorations
Disney Princesses!
11/1/14
We had SO much fun dressing up for Halloween as our favorite Disney Princesses. We got to spend nearly the entire month sharing smiles, laughs and magic with all of our little patients! We hope you enjoy these photos as much as we enjoyed taking them!
-Dr. Revell
Halloween at Des Moines Children's Dentistry
October 23, 2014
We have been having SO much fun becoming Disney characters for Halloween this year and getting to share the joy with so many smiling faces! Having your teeth cleaned by a Disney Princess has proven to be a pretty exciting experience for many of our patients and we couldn’t be happier to see our kids so pumped to be at the dentist!
Thanks for all of the positive feedback from parents too! It’s fun to hear about the excitement from their perspective too!
Enjoy some photos of our visitors this month and check back for updates!
Congrats Regan and Melanie on your 1 year!
September 24, 2014
Both our Dental Assistant, Regan, and our Office Manager, Melanie, celebrated their one year anniversaries with Des Moines Children’s Dentistry back in August. We have been beyond blessed to have these two wonderful employees who have patiently stuck with us over the last year as we grew and changed and navigated the sometimes challenging waters of opening a new business. We finally had a celebration lunch for Regan and Melanie at the office today and I was able to share with the staff just a couple of the things about each of these women that makes our team so great. I felt like I would also share it here on our blog, as I think we don’t often get recognized for what makes us great—and these two ladies are definitely deserving of that recognition.
Regan-
I am thankful for the bright, cheery attitude you bring to the office every day.
You are always here and on time.
You are compassionate about our patients and your commitment to the office and the rest of the staff is one of the best assets we have on our team.
You have maintained our equipment and kept the office looking brand new and working in top shape to ensure the comfort and safety of our patients.
You have had endless patience with us as we tried, and re-tried, and re-tried systems, paperwork and processes in the office over the last year.
You have become a part of our family and we look forward to having you here with us for many years to come.
Melanie-
I am thankful for the attention to detail and the high ethical standards you bring to our office.
You are always here and on time.
You are compassionate about our patients and embody our Team’s mission to serve our patients every day.
You know where we started and where we hope to be.
You work tirelessly to help us achieve better experiences and more opportunities for our patients.
No matter how bad your day may be going, you treat every person who walks in the door with the utmost kindness and respect and you are the example upon which we want the entire office to model their behavior with the patients and other staff.
You have been here since day one, and have helped us with every detail of what we are and what we do every day.
Without you Des Moines Children’s Dentistry could not exist.
Thank you so much, Regan and Melanie! We love you and our patients do too!!!
-Dr. Revell
Happy Mother's Day
May 9, 2014
While becoming a pediatric dentist was my first career, becoming a mom is definitely my true passion in life. Becoming a mother transformed my life in many ways I never expected, but what really surprised me was how it changed my practice of dentistry. I am a better Pediatric Dentist because I am a mother. Don’t get me wrong, I have always been very passionate about working with children, but becoming a mother connected me to parents in ways I could never have anticipated. Overnight, I was able to empathize with every person out there who has a child. I could understand the anxiety and fears parents have about trusting their child with a stranger. I sympathize with my patients’ parents when they explain their struggles with brushing, diet, and breaking pacifier or thumb habits. Mostly though, becoming a mom made me see a small piece of my son in each of my little patients. Children are the most precious gifts parents have, and I treat each child who sits in my chair the way I treat my own son.
As you can see from the pictures, even a dentist’s child isn’t naturally at ease in the office. My son is definitely one of my most challenging patients, but with the right techniques and approach, even my very stubborn two-year-old was able to have a great cleaning and check-up.
If there is one message I want to convey to the parents in my office it would be this: I understand where you are coming from. I understand your fears and concerns. I understand how much you love your child. And I am here to help.
Happy Mother’s Day to all the wonderful Moms, Mommies, and Mamas out there.
-Dr. Revell
Bloom: An Event for New and Expecting Moms
April 9, 2014
Attention new and expecting moms-to-be:
Are you or someone you know expecting? Des Moines Children’s Dentistry is excited to be partnering with Des Moines Mom’s Blog as a co-title sponsor of their Bloom New Mothers event, Saturday April 26.
Dr. Revell has been invited to serve as an expert on their panel of speakers to answer all the questions new and expecting moms have about caring for their babies. Make sure to spread the word and click HERE for more information!
Saturday, April 26th
10 a.m. to noon
Valley Community Center
(444 Fuller Rd. WDM)
New Smiling Faces
March 24, 2014
Des Moines Children’s Dentistry has some new smiling faces in the office! Thanks to Kerri Hayes from Kerri Photography and her awesome wall display, we now get to have these beautiful children make us smile every morning. Kerri has a knack for unique ideas and having worked with her on several projects we have found her to be a true professional. Kerri has a fun, easy-going personality with an attention to detail that shows in all of her work. Thanks so much Kerri Photography!
We have been Blogged (again!)
February 5, 2014
Thank you Sarah Johnson for the kind words! We are so glad Lainey had a wonderful first visit and we are so appreciative of you writing such a positive review. We can’t wait to see you both again in 6 months!
http://sarahandjedbobblehead.blogspot.com/2014/01/laineys-first-trip-to-dentist.html
The Des Moines Register – New in the Neighborhood Blog
January 22, 2014
We were featured in The Des Moines Register‘s New in the Neighborhood blog yesterday! Congratulations Dr. Revell and Dr. Warrington!
Check us out HERE
Elf on a Shelf
December 11, 2013
Happy Holidays from Des Moines Children’s Dentistry!
10 Things Your Pediatric Dentist Wants You To Know
10/16/13 - By Jennifer Larson/Daily Parent
Make a visit to your child’s pediatric dentist easy-peasy with these dental hygiene suggestions from the docs themselves.
October is Dental Hygiene Awareness Month. But for many parents, the prospect of taking their child to the pediatric dentist sounds more like a Halloween nightmare.
Don’t panic! You can prepare a child so the visit isn’t scary at all. A good rule of thumb is to offer a general overview of what to expect: “The dentist will look at your teeth, take some pictures and clean your teeth with a special toothbrush.”
“If you, the parent, have any apprehension about dental visits, never pass that on to your child,” says Dr. Warren Brill, president of the American Academy of Pediatric Dentistry (AAPD). “Always tell them that the dentist is a person who is there to help keep them healthy and make sure they have pretty teeth and a pretty smile.”
In order to keep your child’s dental visits as painless and cavity-free as possible, here are 10 things that your pediatric dentist wants you to know:
- Brush at least twice each day. Ideally, your child would always brush after eating, but aim for at least twice a day, including after dinner.
- Use a toothpaste with fluoride. “Any toothpaste containing fluoride sold over the counter in the U.S. contains an effective, appropriate amount of fluoride,” says Dr. Joel Berg, past-president of the AAPD. Use a lentil-size amount for a child younger than 3 years and a slightly larger amount for older kids.
- Make sure your child is brushing properly. If you’re not sure your child has fully grasped the right technique, you might want to do most of the brushwork yourself. When your child is a little older—maybe 7 or 8 years—you can just watch them as they brush. “Keep an eye on what they do,” says Dr. Brill. “And if you have to follow up, follow up.”
- Schedule your child’s first dentist appointment by age 1 year. You might even go sooner if your child develops teeth earlier.
- Treats should be treats. Dentists often wince when they hear about children eating lots of sticky foods and candy. “It sticks in the grooves of the teeth,” says Dr. Brill. “Even brushing and rinsing may not remove all the sticky goo from the grooves.” Try to reserve those sticky treats for special occasions.
- Don’t let your child drink sugary drinks frequently. Think of all that sugary liquid bathing your child’s teeth and gums, over and over. “Sipping on a soda with sugar all day can be seriously cavity-causing,” says Dr. Berg. “When it comes to cavities, it’s the frequency of sugar more than the quantity in total that can cause cavities.”
- No drinks in bed. If your child stalls at bedtime by asking for a glass of water, you can give in. But don’t put your child to bed with a bottle or cup of milk or juice, unless you plan to brush their teeth before they nod off.
- Eat more fruits and vegetables. Since diet does have a relationship to oral health, the Academy of Nutrition and Dietetics recommends eating lots of fresh veggies, fruits and whole grains.
- Sealants can be a good protective measure. Dentists can apply a material to your child’s molars to help ward off cavities. “It fills in those grooves where decay is so prevalent, where it’s so easy to occur,” says Dr. Brill.
- Floss! As soon as your child has teeth that touch each other, they can get food and bacteria stuck in between them—and floss is the best way to get it out. You can buy pre-strung flossing sticks to make the flossing process easier.
As the saying goes, an ounce of prevention is worth a pound of cure. Taking these simple steps can create life-long good dental hygiene habits and ensure a pleasant visit to the dentist.
When Should I Take My Child to the Dentist?
June 19, 2013
Most parents know it is important to brush and clean their young child’s teeth, but it can be confusing to know when a child should have their first dental visit. According to the American Academy of Pediatric Dentistry, a child should visit the dentist by 12 months of age. Many parents may wonder what will happen at such an early dental visit. The answer is, quite a lot!
According to the AAPD, “The initial visit should include a thorough medical (infant) and dental (parent and infant) history, a thorough oral examination, performance of an age-appropriate tooth brushing demonstration, prophylaxis and fluoride varnish treatment if indicated. In addition, assessing the infant’s risk of developing caries and determining a prevention plan and interval for periodic re-evaluation should be done”.
At Des Moines Pediatric Dentistry we will help educate you, the parent, on ways to prevent problems in your infant before they start. We will assess growth and development, address habits and nutrition, and establish a positive, nurturing relationship with your child. Together we will develop trust and confidence in your child so they may enjoy the benefits of optimal oral health. And for those parents with children over 1 year of age who have not yet visited the dentist-it is never too late to start! Call us today to set up an initial consultation to learn more!
Recare Visits
6/18/13
As pediatric dentists we are often asked by parents “How often does my child need to visit the dentist?” or “Why does my child need to see the dentist every six months?” In addition to “checking for cavities”, a visit to the dentist will include age-appropriate counseling for negative oral habits, monitoring of growth and development and screening for oral pathologies.
The mouth and jaws of the pediatric patient can be dynamic and quickly changing. In some children, poor dietary choices and inadequate home hygiene can cause decay to progress rapidly. In addition to “checking for cavities”, Re-Care visits allow for monitoring of diet, habits, growth, and tooth eruption which is important to maximize a child’s future functional and esthetic potential.
The American Academy of Pediatric Dentistry has outlined recommendations for regular, periodic dental care for the children of all ages. At Des Moines Pediatric Dentistry we adhere to these guidelines to ensure your child is receiving a thorough examination and evaluation that meets the standards set forth by our academy.